ΥΠΗΡΕΣΙΕΣ
Με βάση την σύγχρονη προσέγγιση της ιατρικής και οδοντιατρικής επιστήμης, επιβάλλεται η πραγματοποίηση εξατομικευμένης διάγνωσης των προβλημάτων του κάθε ασθενούς και η κατάρτιση ενός εξατομικευμένου σχεδίου θεραπείας προσαρμοσμένο στις ανάγκες του.
Στην ορθοδοντική, η εξατομικευμένη διάγνωση πραγματοποιείται με την κλινική εξέταση και την λήψη των αρχικών διαγνωστικών στοιχείων του ασθενούς που περιλαμβάνει τουλάχιστον την λήψη ιατρικού και οδοντιατρικού ιστορικού, φωτογραφιών, πλάγιας κεφαλομετρικής ακτινογραφίας, ορθοπαντομογραφήματος και διαγνωστικών εκμαγείων μελέτης.
ΛΗΨΗ ΙΑΤΡΙΚΟΥ ΚΑΙ ΟΔΟΝΤΙΑΤΡΙΚΟΥ ΙΣΤΟΡΙΚΟΥ
Σκοπός της λήψης των ιστορικών υγείας του ασθενούς είναι η διαπίστωση προϋπαρχόντων προβλημάτων υγείας, οι αλλεργιών ή και η λήψη φαρμάκων που ενδέχεται να επηρεάσουν την πορεία της ορθοδοντικής θεραπείας. Για παράδειγμα κάποια ενδοκρινολογικά προβλήματα ενδέχεται να επηρεάζουν αρνητικά την οδοντική μετακίνηση ή κάποιος ασθενής ενδέχεται να είναι αλλεργικός στο Νικέλιο που περιέχουν τα συνηθισμένα ορθοδοντικά σύρματα. Ο Ειδικός Ορθοδοντικός με την λήψη του ιστορικού καλείται να αξιολογήσει την κάθε περίπτωση και να προτείνει την κατάλληλη λύση.
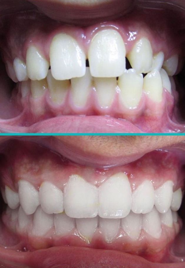
ΛΗΨΗ ΚΑΙ ΑΞΙΟΛΟΓΗΣΗ ΦΩΤΟΓΡΑΦΙΩΝ
Με την λήψη των φωτογραφιών (ενδοστοματικών και εξωστοματικών), ο Ειδικός Ορθοδοντικός έχει την δυνατότητα να αξιολογήσει το πρόσωπο του ασθενούς και να εκτιμήσει πως ενδέχεται να επηρεάσουν οι αλλαγές στο χαμόγελο την γενικότερη αισθητική του προσώπου ώστε να επιτευχθεί το καλύτερο δυνατό αποτέλεσμα. Επιπλέον δύνεται η δυνατότητα περαιτέρω αξιολόγησης της ορθοδοντικής ανωμαλίας ενδοστοματικά.
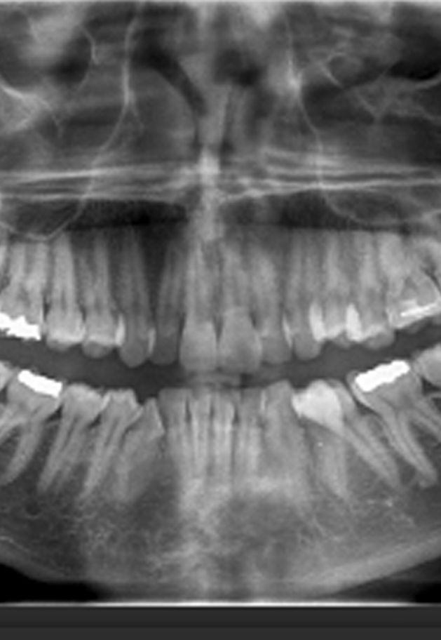
ΑΞΙΟΛΟΓΗΣΗ ΟΡΘΟΠΑΝΤΟΜΟΓΡΑΦΗΜΑΤΟΣ
Με την αξιολόγηση του παντομογραφήματος, ο Ορθοδοντικός έχει την δυνατότητα να αξιολογήσει να αξιολογήσει διάφορες παθολογικές καταστάσεις στα δόντια, στα οστά των γνάθων, στην κροταφογναθική διάρθρωση ή σε άλλες εμφανείς δομές του προσώπου κατά την αξιολόγηση της ακτινογραφίας.
ΑΞΙΟΛΟΓΗΣΗ ΠΛΑΓΙΑΣ ΚΕΦΑΛΟΜΕΤΡΙΚΗΣ ΑΚΤΙΝΟΓΡΑΦΙΑΣ
Η αξιολόγηση της πλάγιας κεφαλομετρικής ακτινογραφίας στην Ορθοδοντική, είναι απαραίτητη καθώς ο Ορθοδοντικός έχει την δυνατότητα να την αναλύσει (καθορίζοντας συγκεκριμμένες γραμμικές και γωνιακές μετρήσεις) και με αυτόν τον τρόπο του δίνεται η δυνατότητα να αξιολογήσει με ακρίβεια την θέση διαφόρων δομών του κρανίου και του προσώπου όπως για παράδειγμα την θέση των γνάθων (πχ. εμπρός ή πίσω θέση της κάτω γνάθου), την σχέση της άνω και της κάτω γνάθου, την κλίση των δοντιών, το πρόσθιο ύψος του προσώπου, το οπίσθιο ύψος του προσώπου, τα μαλακά μόρια του προσώπου κ.α.
ΑΞΙΟΛΟΓΗΣΗ ΔΙΑΓΝΩΣΤΙΚΩΝ ΕΚΜΑΓΕΙΩΝ ΜΕΛΕΤΗΣ
Τα εκμαγεία μελέτης αποτελούν ομοιώματα των δοντιών του ασθενούς και δίνουν την δυνατότητα στον Ορθοδοντικός να πραγματοποιείσει μετρήσεις που τον βοηθούν να αξιολογήσει για παράδειγμα εάν ένα οδοντικό τόξο είναι στενό ή ευρύ, εάν υπάρχει έλλειψη χώρου ή υπάρχει χώρος για να ανατείλουν τα μόνιμα δόντια, εάν υπάρχει δυσαρμονία μεγέθους δοντιών μεταξύ του άνω και του κάτω οδοντικού τόξου κ.α.




